Noida
08048046643
+918882311010

How to Take Care of Your Retainer After Braces Treatment? By Align and Smile Dental Care, Sector 18

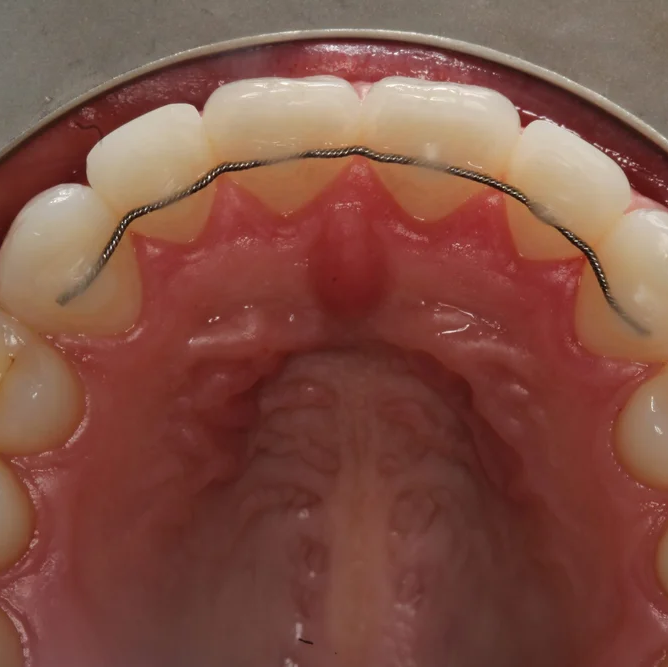
After completing your braces journey, wearing a retainer is essential to maintain your beautiful new smile. Many patients believe that once braces are removed, the treatment is complete—but in reality, retainers play a crucial role in keeping your teeth aligned for the long term. At Align and Smile Dental Care, Sector 18 Noida, we ensure every patient understands the importance of proper retainer care to protect their smile investment. ⸻ Why Retainers Are Important After Braces Teeth naturally tend to shift back to their original positions after orthodontic treatment. Retainers help stabilize your teeth while the surrounding bone and tissues adjust to their new alignment. Failing to wear or care for your retainer properly can lead to: • Teeth shifting (relapse) • Need for retreatment • Wasted time and money ⸻ Types of Retainers Understanding your retainer type helps you care for it correctly: 1. Removable Retainers • Hawley retainers (wire + acrylic) • Clear plastic retainers (Essix) 2. Fixed Retainers • Bonded behind the teeth • Long-lasting but require special cleaning ⸻ Daily Retainer Care Tips 1. Clean Your Retainer Regularly • Rinse your retainer with lukewarm water after every use • Brush gently using a soft toothbrush • Avoid toothpaste for clear retainers as it may scratch them 2. Use Proper Cleaning Solutions • Use retainer cleaning tablets or mild soap • Avoid harsh chemicals or hot water 3. Store It Safely • Always keep your retainer in its case when not in use • Never wrap it in tissue (it can be accidentally thrown away) ⸻ What to Avoid • Heat exposure: Hot water can warp your retainer • Eating with retainers on: Can damage or stain them • Skipping wear time: Leads to teeth shifting • Using alcohol-based cleaners: Can weaken the material ⸻ How to Care for Fixed Retainers • Use floss threaders or interdental brushes • Maintain excellent oral hygiene • Visit your orthodontist regularly for professional cleaning ⸻ When to Replace Your Retainer Retainers don’t last forever. Watch for these signs: • Cracks or breakage • Loose fitting • Discoloration or persistent odor If you notice any of these, visit Align and Smile Dental Care, Sector 18 Noida for expert guidance. ⸻ Travel Tips for Retainer Care • Always carry your retainer case • Pack cleaning supplies • Avoid placing it loosely in bags or pockets ⸻ Common Mistakes Patients Make • Forgetting to wear retainers at night • Cleaning with hot water • Losing retainers due to improper storage • Ignoring minor damage Avoiding these mistakes can save you from costly replacements or additional orthodontic treatment. ⸻ Expert Advice from Dr. Ruchi (Orthodontist in Noida) At Align and Smile Dental Care, Sector 18 Noida, Dr. Ruchi emphasizes that retainers are just as important as braces. Consistent use and proper maintenance ensure your teeth remain straight and your smile stays confident. ⸻ Final Thoughts Taking care of your retainer is simple but essential. With proper hygiene, regular use, and mindful handling, you can preserve your orthodontic results for years to come. If you have any concerns or need a replacement retainer, visit Align and Smile Dental Care, Sector 18 Noida for personalized care and expert advice. ⸻ Frequently Asked Questions (FAQs) Q1. How long should I wear my retainer after braces? Most patients are advised to wear retainers full-time initially, then switch to nighttime wear as recommended by their orthodontist. Q2. Can I sleep without my retainer? Skipping your retainer can cause teeth to shift, especially in the first few months after braces. Q3. How often should I clean my retainer? Daily cleaning is recommended to maintain hygiene and prevent bacteria buildup. Q4. What should I do if my retainer breaks? Contact Align and Smile Dental Care, Sector 18 Noida immediately to avoid teeth shifting. ⸻ Book Your Appointment Today Protect your smile with expert orthodontic care at Align and Smile Dental Care, Sector 18 Noida. Schedule your consultation with Dr. Ruchi today!
 2026-04-08T11:21:21

Keywords