Noida
08048046643
+918882311010

Scaling & Polishing in Noida, Sector 18| Align & Smile Dental Care

update image
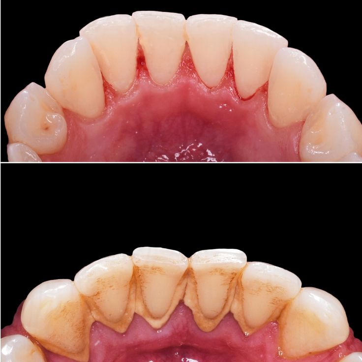
Scaling and polishing is one of the simplest yet most important dental procedures to maintain a healthy, bright, and fresh smile.

At Align & Smile Dental Care, we offer gentle, expert cleaning that removes plaque, tartar, and surface stains β€” keeping your teeth and gums healthy year-round.


βœ… What Is Scaling & Polishing?
Scaling removes hardened plaque (tartar/calculus) that sticks to your teeth and cannot be cleaned by regular brushing.
Polishing smoothens the tooth surface and removes minor stains, giving a clean, glossy finish.

Together, they help prevent gum disease, cavities, and bad breath.

⭐ Benefits of Scaling & Polishing

Removes plaque & tartar buildup
Prevents gingivitis and gum infection
Eliminates bad breath (halitosis)
Reduces yellowish surface stains
Gives smoother, cleaner, brighter teeth
Improves overall oral hygiene
Helps prevent future dental problems


🦷 Why Regular Scaling is Important

Plaque still accumulates in hard-to-reach areas even with daily brushing.
Over time, it hardens into tartar β€” which only a dentist can remove.

Skipping professional cleaning may lead to:
Gum bleeding
Swollen gums
Sensitivity
Deep gum pockets
Early gum disease or bone loss


πŸ‘©πŸ»β€βš•οΈDentists recommend dental cleaning every 6 months.

πŸ“ Scaling & Polishing at Align & Smile Dental Care, Noida, Sector 18.

We use advanced ultrasonic scalers for precise cleaning while protecting your enamel.

Our clinic ensures a gentle, hygienic, and quick procedure that leaves your mouth feeling clean and refreshed.

πŸ•’ Procedure Duration: 25–30 minutes

Downtime: None β€” resume normal activities immediately

πŸ’Έ Cost of Scaling & Polishing in Noida
Scaling and polishing is one of the most affordable preventive dental treatments.
Contact Align & Smile Dental Care for an exact quote based on your oral condition.

πŸ“ Aftercare Tips
Avoid highly colored foods (tea/coffee/wine) for 24 hours
Brush twice daily with a soft-bristled brush
Floss daily
Use a dentist-recommended mouthwash
Schedule your next cleaning in 6 months

πŸ“ FAQ – Scaling & Polishing at Align & Smile Dental Care


πŸ‘©β€βš•οΈ Is Scaling Painful?
No. Scaling and polishing is a safe, comfortable, minimally invasive procedure.
If you have sensitive teeth, our team at Align & Smile Dental Care may use numbing gel for added comfort.

1. How often should I get scaling done?
Every 6 months. Patients with gum issues may need more frequent cleanings.

2. Is scaling harmful to teeth?
No. Scaling does not damage enamel. It only removes tartar and deposits.

3. Will my teeth become loose after scaling?
No. Teeth feel cleaner; scaling does not loosen teeth. Gum disease β€” not scaling β€” causes looseness.

4. Is polishing necessary after scaling?
Yes. Polishing smoothens the surface, removes stains, and reduces future plaque buildup.

5. How long does scaling and polishing take?
Around 25–30 minutes at Align & Smile Dental Care.

6. Can scaling reduce yellow teeth?
Yes, scaling removes surface stains and makes teeth appear cleaner and brighter.
For deeper whitening, professional teeth whitening may be recommended.

7. Do gums bleed after scaling?
Mild bleeding is normal if gums are already inflamed.
It reduces as gum health improves.

8. Is the procedure safe during pregnancy?
Yes β€” scaling and polishing is completely safe during pregnancy.

Professional scaling & polishing in Noida, Sector 18 to remove tartar, stains, and bad breath.
Gentle ultrasonic cleaning at Align & Smile Dental Care.
Book your appointment today.

#scaling #polishing #noida #sector18 #align&smiledentalcare #visitdentist
 2025-12-01T06:26:39