Noida
08048046643
+918882311010

What Happens If You Don’t Remove Impacted Wisdom Teeth? | Best Dental Clinic in Noida

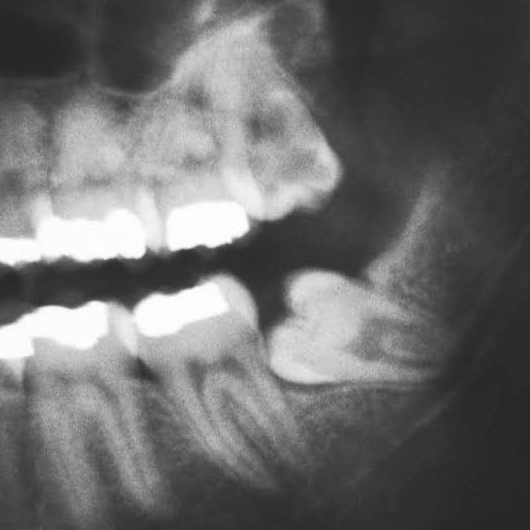
What Happens If You Don’t Remove Impacted Wisdom Teeth? A Complete Guide by Align and Smile Dental Care, Noida Impacted wisdom teeth are one of the most common dental issues faced by adults. While some people experience no immediate discomfort, leaving impacted wisdom teeth untreated can lead to serious oral health complications over time. If you’ve been advised to remove your wisdom tooth but are delaying the procedure, this guide will help you understand the risks, long-term consequences, and why choosing the right dental clinic in Noida is essential. ⸻ 🦷 What Are Impacted Wisdom Teeth? Wisdom teeth are the last set of molars that usually emerge between the ages of 17 and 25. When there isn’t enough space in the jaw, these teeth can become “impacted, ” meaning they are trapped under the gums or grow at an incorrect angle. ⸻ ⚠️ What Happens If You Don’t Remove Impacted Wisdom Teeth? Ignoring impacted wisdom teeth can lead to multiple dental and health issues: 1. Persistent Pain and Discomfort Impacted teeth often press against neighboring teeth or nerves, causing recurring pain, jaw stiffness, and headaches. 2. Infection and Swelling Partially erupted wisdom teeth create pockets where food and bacteria accumulate, leading to infections, swelling, and pus formation. 3. Damage to Nearby Teeth An impacted tooth can push against adjacent molars, causing decay, root damage, or misalignment. 4. Gum Disease (Pericoronitis) Inflammation around partially erupted teeth can result in gum infections, bad breath, and difficulty in chewing. 5. Cyst or Tumor Formation In some cases, fluid-filled cysts may develop around impacted teeth, potentially damaging the jawbone and surrounding tissues. 6. Tooth Decay Cleaning impacted wisdom teeth is difficult, increasing the risk of cavities in both the wisdom tooth and neighboring teeth. 7. Orthodontic Issues Impacted wisdom teeth can undo previous orthodontic treatments by crowding your teeth. ⸻ 🏥 Why Early Removal Is Recommended Dentists often recommend removing impacted wisdom teeth before complications arise. Early extraction is generally: • Less painful • Easier to perform • Faster to heal • Lower risk of complications ⸻ ⭐ Why Choose Align and Smile Dental Care – The Best Dental Clinic in Noida? When it comes to wisdom tooth extraction, expertise and precision matter. At Align and Smile Dental Care, Noida, we focus on: • Advanced diagnostic tools (digital X-rays) • Minimally invasive surgical techniques • Experienced dental surgeons • Strict sterilization protocols • Personalized patient care and follow-ups Our goal is to make your wisdom tooth removal as comfortable, safe, and stress-free as possible. ⸻ 💰 Cost of Wisdom Tooth Extraction in Noida The cost of removing impacted wisdom teeth can vary depending on the complexity of the case: • Simple extraction: ₹2, 000 – ₹5, 000 per tooth • Surgical impacted extraction: ₹5, 000 – ₹12, 000 per tooth • Complex cases (deep impaction): ₹12, 000 – ₹20, 000 At Align and Smile Dental Care, we offer transparent pricing and customized treatment plans based on your specific needs. ⸻ ⏳ What to Expect After Extraction • Mild swelling and discomfort for 2–3 days • Complete healing within 1–2 weeks • Soft diet recommended initially • Proper oral hygiene speeds up recovery ⸻ ❓ Frequently Asked Questions (FAQs) 1. Is it necessary to remove impacted wisdom teeth if they don’t hurt? Yes. Even painless impacted teeth can cause hidden damage such as infection, cysts, or decay over time. 2. What are the signs that my wisdom tooth needs removal? Common signs include pain, swelling, bad breath, difficulty opening your mouth, and gum infection. 3. Is wisdom tooth removal painful? The procedure is performed under local anesthesia, so you won’t feel pain during the extraction. Mild discomfort afterward is manageable with medication. 4. How long does recovery take? Most patients recover within 7–10 days, with noticeable improvement in the first 3 days. 5. Can I delay wisdom tooth removal? Delaying can worsen complications, making the procedure more complex and costly later. 6. How much does wisdom tooth removal cost in Noida? Costs typically range from ₹2, 000 to ₹20, 000 depending on the complexity of the extraction. 7. What happens if an infected wisdom tooth is not treated? It can spread infection to nearby teeth, gums, and even other parts of the body in severe cases. ⸻ 📝 Final Thoughts Ignoring impacted wisdom teeth may seem harmless at first, but it can lead to serious dental complications that affect your overall health. Early diagnosis and timely removal are key to avoiding pain, infections, and costly treatments. If you’re experiencing symptoms or have been advised to remove your wisdom teeth, consult the experts at Align and Smile Dental Care, Noida—your trusted destination for safe and effective wisdom tooth extraction. ⸻ Book your consultation today and take the first step towar
 2026-03-27T06:01:36

Keywords