Noida
08048046643

Please keep +91 or 0 before dialling the number.     Please keep +91 or 0 before dialling the number

+918882311010

Broken Upper Front Teeth: Causes, Treatment Options & What to Do Immediately

update image
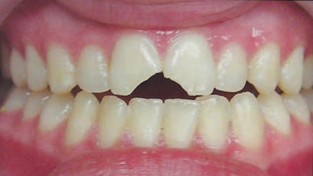
"Broken Upper Front Teeth" are one of the most common and distressing dental problems. Because these teeth are highly visible, even a small chip or fracture can affect your smile, confidence, speech, and chewing ability.
Whether the damage is due to trauma, decay, or wear, timely treatment is essential to restore both function and aesthetics.

At Align & Smile Dental Care, we specialize in advanced and painless solutions for broken front teeth.

Common Causes of Broken Upper Front Teeth
Upper front teeth are more exposed and therefore more prone to damage. Common causes include:
1. Accidental falls or sports injuries
2. Road traffic accidents
3. Biting on hard foods (ice, nuts, pens, bottle caps)
4. Untreated cavities that weaken tooth structure
5. Old or faulty dental fillings
6. Teeth grinding (bruxism)
7. Sudden temperature changes (hot followed by cold)

Types of Tooth Damage
Understanding the severity of the break helps determine the right treatment:

1. Chipped Tooth
Small enamel fracture with no pain. Mostly an aesthetic concern.

2. Cracked Tooth
A deeper crack that may cause sensitivity or pain while biting.

3. Broken Tooth with Nerve Exposure
Severe fracture causing sharp pain, sensitivity, or bleeding.

4. Completely Knocked or Severely Damaged Tooth
Requires immediate dental attention to save or replace the tooth.

What to Do Immediately After a Front Tooth Breaks
Do not ignore it, even if there is no pain
✅Rinse your mouth gently with clean water
✅Avoid biting with the affected tooth
✅Apply a cold compress if there is swelling
✅Visit a dentist as soon as possible

⏳ Delaying treatment can lead to infection, discoloration, pain, or tooth loss.

Treatment Options for Broken Upper Front Teeth
The treatment depends on how badly the tooth is damaged:

1. Tooth-Coloured Filling (Composite Bonding)
Ideal for small chips or minor fractures
Matches natural tooth colour
Quick, painless, and cost-effective

2. Dental Veneers
Thin ceramic shells placed on the front surface
Best for aesthetic correction of chipped or uneven teeth
Long-lasting and natural-looking

3. Dental Crowns
Recommended for major fractures or weak teeth
Covers and protects the entire tooth
Restores strength, shape, and appearance

4. Root Canal Treatment + Crown
Needed if the nerve is affected
Removes infection and saves the tooth
Followed by a crown for long-term protection

5. Tooth Replacement (If Tooth Cannot Be Saved)
Dental implants
Bridges
Temporary or permanent solutions depending on the case

Why Early Treatment Is Important
Ignoring a broken front tooth can lead to:
1.Severe pain and sensitivity
2.Tooth discoloration
3.Infection and abscess formation
4.Damage to adjacent teeth
5.Higher treatment cost later

Early care ensures simpler, faster, and more affordable treatment.

Can Broken Front Teeth Be Fixed Aesthetically?
Yes! Modern dentistry allows us to restore broken teeth so naturally that no one can tell they were ever damaged. With digital smile design, high-quality materials, and expert care, your smile can look even better than before.

Why Choose Align & Smile Dental Care?
✅Experienced cosmetic & restorative dentists
✅Advanced digital diagnostics
✅Painless and patient-friendly approach
✅Natural-looking aesthetic results
✅Personalized treatment plans

📍 Align & Smile Dental Care, Sector 18, Nodia
📞 Book your consultation today

FAQs – Broken Upper Front Teeth

Q1. Is a broken front tooth a dental emergency?
Yes, especially if there is pain, bleeding, or nerve exposure.

Q2. Can a broken tooth heal on its own?
No. Dental treatment is required to prevent complications.

Q3. Is fixing a broken front tooth painful?
Most treatments are painless and done under local anesthesia.

Q4. How long does treatment take?
Minor repairs can be done in one visit. Crowns or veneers may take 2–3 visits.


A broken upper front tooth should never be ignored. With timely dental care, you can restore your smile, confidence, and oral health completely.

👉 If you or your child has a broken front tooth, visit Align & Smile Dental Care, Sector 18, Noida today for expert treatment.

 2026-02-09T07:31:36

Keywords